First Glimpse of Thymic Rejuvenation
Immune function declines dramatically beginning in the sixth to seventh decade of life. From that time onward, the body’s ability to suppress chronic infections, resist newly-encountered pathogens, and preserve immunological self-tolerance becomes rapidly and progressively impaired. The pain of recurrent Herpes zoster and postherpetic neuralgia, as well as death from influenza, pneumonia, and septicemia, are extremely rare in the third through the sixth decade of life, but rise meteorically in prevalence at later ages.(1,2) (See eg. Figure 1). Age-related loss of immune function is also a major underlying factor in the rising burden with age of chronic urinary tract infections, pressure sores, ulcers, and surgical complications, and the same impairment is widely accepted to contribute in less specific ways to multiple chronic conditions of age-related ill health, and to global functional decline and frailty in aging people.(1,2) This “immunosenescence” is thus is a major ultimate cause of age-related morbidity and mortality.

Figure 1. Data from CDC/NCHS, National Vital Statistics System, Mortality, 2006; figure prepared by Alex Foster.
Heretofore, the great majority of efforts aimed at alleviating this burden of disease and death have been directed toward public health measures to reduce population-wide transmission of infections and to increase vaccination uptake in older adults; there have also been significant efforts in biomedical research aimed at modifying vaccine formulation and administration protocols to make them more effective in persons with age-related impairments in vaccine responsiveness.(1,1a)
The largely-neglected alternative is the development of rejuvenation biotechnology to resolve the underlying causes of immunosenescence. Vulnerability to infection and autoimmunity rise with age due to the lifelong accumulation of structural damage to the cellular and molecular structures responsible for immune function.(3,5) Such damage builds up silently during the earlier years of adult life, and only erupts in the form of acute clinical events and nonspecific exacerbations of chronic age-related disease after a substantial number of functional units are lost.
One Goal, Two Targets
SENS Research Foundation has made substantial investments in research on regenerative therapies for the aging immune system, with the aim of maintaining and restoring youthful immune function throughout life, eliminating the disparate burden of morbidity and mortality from infectious disease that falls disproportionately persons over the age of 60. We have targeted research dollars toward developing rejuvenation biotechnologies to repair the two forms of aging damage that are the most widely accepted drivers of immunosenescence. In the lab of Dr. Janko Nikolich-Žugich at the Arizona Center on Aging, we are funding a project testing the clearance of dysfunctional, “senescent” cytotoxic CD8+ T-cells — cells that exert suppressive effects on the expansion and response of other, functional T-cells.(3) And at the Wake Forest Institute for Regenerative Medicine, SENS Research Foundation is supporting Dr. John Jackson‘s efforts to apply the decellularized scaffold tissue engineering technique(4) to the engineering of a transplantable thymic neo-organ.
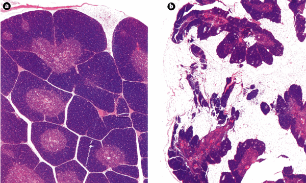
The thymus is an organ located under the breastbone that plays an essential role in immune function. It is responsible for the maturation of T-lymphoid progenitor cells into mature T-cells, which are responsible for specific immunity. However, the thymus undergoes substantial structural decay with age: beginning in adolescence, it decreases in volume, loses functional thymic epithelial cells (TEC) necessary for positive and negative selection of maturing T-cells, and suffers disruption of the microarchitecture that supports the process of T-lymphoid progenitor development(5) (see Figure 2). Numerous hormonal and other factors have been identified that play a role in this process of “thymic involution,” and administration or withdrawal of many of these factors leads to a transient increase in thymic volume and some improvement in structural features. Unfortunately, it does not appear that any of these approaches leads to sustained increases in output of functional T-cells.(5-8) Calorie restriction (CR) impedes the accumulation of thymic tissue damage with age and better preserves the organ’s capacity to produce functional T-cells;(9) however, this approach can only prospectively decelerate the progression of age-related structural and functional decline, rather than restore such function in those who have already undergone substantial degenerative age changes. Moreover, what evidence is available from ambiguous CR studies in nonhuman primates suggests that the effects of CR on functional thymic decline in primates may be limited in magnitude, and dependent on a restricted window of opportunity for CR onset.((10,11); cf. (12))

Figure 2. Age-related thymic involution. (a) Child thymus. (b) Adult thymus. In addition to losing volume, the thymus loses functional lymphoid tissue: > 80% of thymic volume is lymphoid tissue at age 20, but this amount declines to ≈5% by age 40, replaced by infiltrating or aberrantly-differentiated adipocytes. Reproduced from Geneser F. Color Atlas of Histology. 1985; Philadelphia: Lea & Febiger.
There is therefore enormous medical need for new therapies that genuinely rejuvenate thymic function, restoring youthful production of new, “naïve” T-cells that recognize and clear out newly-encountered pathogens and restore resistance to infectious disease and death to persons whose thymuses have already undergone substantial age-related degeneration. Tissue engineering of healthy, functional thymic tissue offers a highly promising approach to this problem.(5) An additional attractive feature of this approach is that engineered thymic tissue grafts could support the development of tolerance to bioengineered or conventionally-harvested transplanted organs and tissues. By eliminating need for immunosuppressive drugs to prevent rejection of transplanted organs and tissues, such immunologically-based tolerance would facilitate the use of tissue and organ transplantation for rejuvenation therapies and for indications already established in contemporary transplant medicine, and increase their safety and efficacy.
Compared to other tissues and organs, and relative to its potential clinical benefit, the bioengineering of thymic tissue has been sorely underpursued. It is therefore heartening to hear that even as Dr. Jackson’s thymus bioengineering research continues, investigators at the University of California San Francisco have reported for the first time a protocol that not only allows them to differentiate human embryonic stem cells (hESC) into cells expressing markers for thymic epithelial progenitor cells (TEP), but to generate thymic-like tissue with substantial functionality in athymic mice.(13)
Recapitulating Early Developmental Signaling
Researchers led by University of California-San Francisco (UCSF) immunologist Dr. Mark Anderson and UCSF Diabetes Center stem cell researcher Dr. Matthias Hebrok developed a differentiation strategy based on molecular recapitulation of embryonic thymic development. hESC were sequentially exposed to factors present in the local microenvironment at staged stepping points along the embryonic developmental path from blastocyst hESC, to definitive endoderm, to anterior foregut endoderm (which is as far as could be definitively established in previous attempts at TEP generation from pluripotent cells), and thence to ventral pharyngeal endoderm. Using expression of Foxn1 and HOXa3 as indicators of thymic specification, they found that the duration of exposure to activin A for dermal endoderm differentiation, and the ongoing presence bone morphogenic protein 4 and retinoic acid throughout the period of subsequent differentiation through to TEP, led to best results. With their optimized protocol, ~14% of cells that were differentiated past the ventral pharyngeal endoderm stage expressed high levels of HOXa3 and of EpCAM, “an epithelial marker expressed by many epithelial cells, including TEPs”, and no such cells expressed KRT1 or KRT10, which would otherwise have suggested early skin differentiation at the expense of TEP.(13)
Completing Development In Situ
To further differentiate their hESC-derived TEP into functional TEC capable of supporting maturation of T-lymphoid progenitor cells into mature, functional T-cells, the investigators transplanted these cells under the kidney capsule of “nude” (athymic) mice. Nude mice have Foxn1 mutations that abrogate thymic development at it earliest stages by failing to support the differentiation of TEP, but which do not interfere with the later stages of thymic organogenesis, nor with T-cell development from T-lymphocyte progenitor cells when exposed to a functioning thymic environment.
The development of their hESC-derived TEP into TEC when implanted into such mice was compared human fetal thymus (HFT) implanted in a parallel group of animals as a positive control, and to negative controls receiving no transplant. Dramatic increases in expression of several TEC marker genes occurred in transplanted TEP, and labeling of transplanted tissue with antibodies for cytokeratins characteristic of mature cortical and medullary TEC revealed newly-formed patterns consistent with parallel labeling in transplanted human fetal thymic tissue in HFT animals.(13)
Because nude mouse T-lymphoid progenitor cells remain capable of maturation into T-cells when exposed to a normal thymic environment, the UCSF investigators next looked to see if the TEP-derived TEC would support the maturation of these animals’ T-lymphoid progenitor cells into functional T-cells. Shortly after the initial transplantation of TEP, a small number of CD4+ and CD8+ T-cells were detected in the spleens and peripheral blood of TEP-transplanted, HFT, and even control athymic mice. This is consistent with previous reports of low-level extrathymic development of such T-lymphocyte progenitor cells into T-cells in these animals. By contrast, unmodified hESC transplanted into nude mice did not undergo T-cell development. But after a 10-week window of developmental opportunity, the number of T-cells in HFT and TEP-transplanted animals increased substantially and equivalently (with a bias toward for CD4+ cells in HFT and CD8+ cells in TEP transplantees), while the control animals continued to exhibit the same low numbers of T-cells as they had done shortly after their littermates received their transplants. Consistent with the role of the transplants in the maturation of the animals’ T-lymphoid progenitor cells, lymphoid cells were observed within the HFT and TEP-transplant grafts, as would be necessary for the transplants to support their development into mature CD4+ and CD8+ T-cells.(13)
The grafted animals’ T-cells expressed T-cell receptor proteins CD3 and TCRβ, as occurs during T-cell maturation in wild-type mice through interaction with cortical thymic epithelial tissue, “indicating successful T cell receptor gene rearrangement and positive selection of newly generated T cells.”(13) As compared with control mice, TEP- and especially HFT-transplanted animals’ spleens contained substantially higher numbers of TCRβ+CD4+ and TCRβ+CD8+ T-cells, including CD4+Foxp3+ T-regulatory cells, which maintain immunological self-tolerance. The transplanted animals’ T-cells additionally exhibited substantially more diversity in the rearrangement of their TCR variable domains, a process that also occurs in the thymus.
Functional Assays
A critical weakness in much of the existing literature on stem cell differentiation and tissue engineering is that investigators have rested a claim of successful derivation of a desired cell type entirely on the presence of one (or a small number) of characteristic cell-surface markers, without providing evidence that the cells are actually capable of carrying out the imputed cell type’s actual physiological role in situ. In this study, however, the researchers showed that engineered thymic tissue not only support the development of more T-cells, but that the resulting T-cells were more functional than those arising from the nude mice’s low-level, default extrathymic developmental process. As compared with T-cells taken from control animals, high numbers of T-cells derived from TEP-transplanted animals proliferated upon stimulation with either anti-CD3/CD28 antibodies, or with CD11c+ antigen-presenting cells taken from allogeneic Non-obese diabetic (NOD) mice or mice heterozygous for the nude mutation. Transplanted mice also more rapidly rejected allogeneic skin grafts, taking only ≈57% as long to destroy the grafts as did untransplated control animals.(13)
Scaffolding to Climb Over Hurdles
Despite these promising results, there were important limitations on the functionality of the UCSF team’s TEP-derived thymic tissue. The autoimmune regulator transcription factor AIRE, which exposes developing T-cells to proteins specific to peripheral organs while still in the thymus, was not expressed in TEP-derived tissue, suggesting that the TEP-derived thymic-like tissue would not be capable of fully establishing self-tolerance. As well, the TEP grafts’ expression of TEC marker genes was in several cases substantially at variance from that in HFT grafts or in normal adult or fetal thymus. There were significant variations in the degree and pace of thymic development between tissue in the two graft types, and the total number of T-cells isolated from TEP grafts was lower than is normally found in the thymus, although not different from the level in HFT-grafted mice.(13)
More importantly, T-cells derived from TEP-grafted animals were less functional in their ability to proliferate in response to relevant ligands or antigen-presenting cells than HFT-grafted animals, which in turn were less functional than the equivalent cells in wild-type animals. And it bears noting that none of these functional assays actually give us any idea of how effective the T-cells that emerge from the engineered thymic tissue are at actually resisting infection. And most importantly of all, the TEP grafts did not support durable thymopoiesis, with the number of CD4+CD8+ double-positive maturing T-cells declining over time, which the authors speculate may have been due to an immunological attack on the grafts by residual natural killer cells and/or an autoimmune response.(13) Indeed, both phenomena have previously been observed in thymus-grafted nude mice.
How could these limits be overcome? Doubtless, there is room for further refinement and optimzation of the level, sequence, and duration of exposure to the numerous positive and negative regulatory molecules through which the hESC were differentiated to TEP, and to develop protocols that provide better support of their subsequent development into thymus-like tissues in the host. Additionally, some of the observed underperformance of the grafted thymus-like tissue was likely due to the mismatch between the human MHC of the graft cells on which the murine T-lymphoid progenitor cells were selected, and the host organism’s own murine tissues. Indeed, engineered tissues for human rejuvenation therapeutics will ideally be not merely syngeneic, but immunologically patient-identical, having been derived from patient-derived induced pluripotent cells or somatic cell nuclear transfer technology. Moreover, even under the best differentiation protocols and with the best initial cell source, no thymic tissue that is composed entirely of unstructured cell transplants (as done in this study) can be expected to fully support the sequential processes of T-cell commitment and development, which depend on the structured microenvironments and three-dimensional stromal elements in the complex architecture of the intact thymus gland.(14,15)
These multiple caveats notwithstanding, this study was exciting. For the first time, researchers derived functioning TEP from hESC, and found a way to further develop TEP into TEC tissue capable of supporting the development of mature T-cells from T-lymphoid progenitor cells in vivo.(13) The success of this new study is remarkable, not only for what the investigators achieved, but for what it suggests can be achieved when its relatively crude system of thymic epithelial cell derivation and transplantation is superseded by the engineeering of true thymic neo-organs, such as those that are in development in Dr. Jackson’s SENS Research Foundation-funded lab at this writing. The heart of Dr. Jackson’s project is the decellularized stromal scaffold paradigm, which has already done so much to advance the engineering of organs such as the heart, liver, and lungs(4) — organs which (arguably) are less dependent on the fine stromal structural elements of the original organ for function than is the thymus. Already, Dr. Jackson’s lab team have succeeded in seeding epithelial cells onto decellularized mouse thymus scaffolds (Figure 3), and they are now in the process of completing the initial characterization proliferation and coverage of these cells on the scaffolds. Soon, the reseeding procedure will be completed by seeding bone marrow stem cells purged of T-cells onto the epithelial-seeded scaffold. Once this is achieved, the production of mature T-cells by the bioengineered neo-organs will be evaluated. Advances already achieved in bioengineering other organs with decellularized scaffolds suggest a successful outcome; moreover, the thymus scaffold specifically provides the structural elements necessary for the cells that are grown on it to assume the complex microenvironmental relationships of a mature thymus, and which were lacking in the TEP transplants generated in the UCSF study(13): the capsule, the trabeculae, and the perivascular spaces, along with the appropriate localization of medullary and cortical thymic epithelium.

Figure 3. Decellularized Mouse Thymus Scaffolds, Re-Seeded with Epithelial Cells. From Dr. John Jackson, Wake Forest Institute of Regenerative Medicine.
Based on the known biology of the organ,(14,15) building thymic neo-organs up on such scaffolds can be anticipated to better enable the paedagogy of the developing thymocytes. Building on this work, and combined with purging the body of dysfunctional, age-damaged T-cells,(3) we will one day preserve and maintain youthful immune function over time, suffusing the dark days of the winter flu season with a newfound sunshine of health and optimism.
References
1: High KP, D’Aquila RT, Fuldner RA, Gerding DN, Halter JB, Haynes L, Hazzard WR, Jackson LA, Janoff E, Levin MJ, Nayfield SG, Nichol KL, Prabhudas M, Talbot HK, Clayton CP, Henderson R, Scott CM, Tarver ED, Woolard NF, Schmader KE. Workshop on immunizations in older adults: identifying future research agendas. J Am Geriatr Soc. 2010 Apr;58(4):765-76. PubMed PMID: 20398161.
1a. Michel JP, Chidiac C, Grubeck-Loebenstein B, Johnson RW, Lambert PH, Maggi S, Moulias R, Nicholson K, Werner H. Advocating vaccination of adults aged 60 years and older in Western Europe: statement by the Joint Vaccine Working Group of the European Union Geriatric Medicine Society and the International Association of Gerontology and Geriatrics-European Region. Rejuvenation Res. 2009 Apr;12(2):127-35. doi: 10.1089/rej.2008.0813. PubMed PMID: 19415978.
2: Castle SC. Clinical relevance of age-related immune dysfunction. Clin Infect Dis. 2000 Aug;31(2):578-85. Epub 2000 Sep 14. Review. PubMed PMID: 10987724.
3. Nikolich-Zugich J. Ageing and life-long maintenance of T-cell subsets in the face of latent persistent infections. Nat Rev Immunol. 2008 Jul;8(7):512-22. doi: 10.1038/nri2318. Review. PubMed PMID: 18469829.
4. Song JJ, Ott HC. Organ engineering based on decellularized matrix scaffolds. Trends Mol Med. 2011 Aug;17(8):424-32. doi: 10.1016/j.molmed.2011.03.005. Epub 2011 Apr 21. Review. PubMed PMID: 21514224.
5. Heng TS, Chidgey AP, Boyd RL. Getting back at nature: understanding thymic development and overcoming its atrophy. Curr Opin Pharmacol. 2010 Aug;10(4):425-33. doi: 10.1016/j.coph.2010.04.006. Epub 2010 May 17. Review. PubMed PMID: 20483662.
6. Griffith AV, Fallahi M, Venables T, Petrie HT. Persistent degenerative changes in thymic organ function revealed by an inducible model of organ regrowth. Aging Cell. 2012 Feb;11(1):169-77. doi: 10.1111/j.1474-9726.2011.00773.x. Epub 2011 Dec 28. PubMed PMID: 22103718.
7. Holländer GA, Krenger W, Blazar BR. Emerging strategies to boost thymic function. Curr Opin Pharmacol. 2010 Aug;10(4):443-53. doi: 10.1016/j.coph.2010.04.008. Epub 2010 May 4. Review. PubMed PMID: 20447867; PubMed Central PMCID: PMC3123661.
8. Min H, Montecino-Rodriguez E, Dorshkind K. Reassessing the role of growth hormone and sex steroids in thymic involution. Clin Immunol. 2006 Jan;118(1):117-23. Epub 2005 Sep 26. PubMed PMID: 16188505.
9. Yang H, Youm YH, Dixit VD. Inhibition of thymic adipogenesis by caloric restriction is coupled with reduction in age-related thymic involution. J Immunol. 2009 Sep 1;183(5):3040-52. doi: 10.4049/jimmunol.0900562. Epub 2009 Jul 31. PubMed PMID: 19648267; PubMed Central PMCID: PMC2731487.
10. Messaoudi I, Warner J, Fischer M, Park B, Hill B, Mattison J, Lane MA, Roth GS, Ingram DK, Picker LJ, Douek DC, Mori M, Nikolich-Zugich J. Delay of T cell senescence by caloric restriction in aged long-lived nonhuman primates. Proc Natl Acad Sci U S A. 2006 Dec 19;103(51):19448-53. Epub 2006 Dec 11. PubMed PMID: 17159149; PubMed Central PMCID: PMC1748246.
11. Messaoudi I, Fischer M, Warner J, Park B, Mattison J, Ingram DK, Totonchy T, Mori M, Nikolich-Zugich J. Optimal window of caloric restriction onset limits its beneficial impact on T-cell senescence in primates. Aging Cell. 2008 Dec;7(6):908-19. doi: 10.1111/j.1474-9726.2008.00440.x. PubMed PMID: 19032694; PubMed Central PMCID: PMC2659568.
12. Ahmed T, Das SK, Golden JK, Saltzman E, Roberts SB, Meydani SN. Calorie restriction enhances T-cell-mediated immune response in adult overweight men and women. J Gerontol A Biol Sci Med Sci. 2009 Nov;64(11):1107-13. doi: 10.1093/gerona/glp101. Epub 2009 Jul 28. PubMed PMID: 19638417; PubMed Central PMCID: PMC2759570.
13. Parent AV, Russ HA, Khan IS, Laflam TN, Metzger TC, Anderson MS, Hebrok M. Generation of Functional Thymic Epithelium from Human Embryonic Stem Cells that Supports Host T Cell Development. Cell Stem Cell. 2013 May 15. doi:pii: S1934-5909(13)00140-9. 10.1016/j.stem.2013.04.004. [Epub ahead of print] PubMed PMID: 23684540.
14 Takahama Y. Journey through the thymus: stromal guides for T-cell development and selection. Nat Rev Immunol. 2006 Feb;6(2):127-35. Review. PubMed PMID: 16491137.
15. Mohtashami M, Zúñiga-Pflücker JC. Three-dimensional architecture of the thymus is required to maintain delta-like expression necessary for inducing T cell development. J Immunol. 2006 Jan 15;176(2):730-4. PubMed PMID: 16393955.









